Scientist of the Day - Albert Claude
Albert Claude, a Belgian/American cell biologist, died May 22, 1983, at the age of 84. Claude was raised in a tiny village in the Ardennes; his mother developed breast cancer when he was 3 and died 4 years later, giving him a motivation to obtain a medical degree and study cancer. That he ever achieved this goal is quite amazing, since his village schooling stopped at age 12, and he went to work in a factory, and then served in World War I. Since he had no high school diploma, he was unable to apply to medical school, until a government program allowed war veterans to attend universities without having to fulfill the usual prerequisites. Claude applied to the Medical School in Liège and received his medical degree in1928.
After studying in Berlin, Claude conceived a research project to study the agent that causes Rous sarcoma, a cancer in animals. He sent off his project proposal to the Rockefeller Institute in New York City, and rather unbelievably, he was accepted. He spent the next 20 years at Rockefeller, pursing his interest in Rous sarcoma (whose infectious agent, a virus, turned out to be the first known retrovirus), but he developed a wider interest in the makeup of the cell, which was only partially understood when Claude began his work.
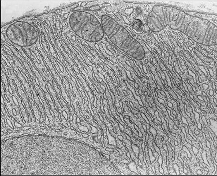
The larger organelles of the cell, such as chloroplasts and mitochondria, had been known for some time, as they are visible in a light microscope, but the smaller ones were not. Claude developed a technique now known as cell fractionation, whereby cells are mashed and pulverized, then centrifuged, separating out the contents by density. It could be determined that the different fractions performed different cell functions, so that, for example, enzymes responsible for cell respiration were found in the fractions containing mitochondria, confirming their importance for energy production in the cell. One of the fractions contained evidence of protein synthesis, and although its constituents could not be seen in the light microscope, it was hypothesized to be a convoluted membrane that was later named the endoplasmic reticulum. Claude was the discoverer, and he correctly hypothesized that protein synthesis occurred there. By the 1950s, he was able to confirm the existence of the endoplasmic reticulum with a new tool, the electron microscope. Furthermore, he was able to see, with the electron microscope, the tiny ribosomes that congregate on the endoplasmic reticulum and are the site of protein synthesis in the cell (see a modern photograph, third image). Claude was the co-discoverer of the ribosome (with George Palade), an organelle that still carries the name he gave it.

Electron photomicrograph of a cell; the extensive fine network is the endoplasmic reticulum, the tiny black dots are ribosomes; the larger organelles are mitochondria (top) and the cell nucleus (bottom left), from the front cover of The Endoplasmic Reticulum, ed. by Susan Ferro-Novick, Cold Harbor Spring Laboratory Press, 2013 (amazon.com)
By this time, Claude was back in Belgium, directing the Institute Jules Bordet in Brussels, and he later moved to the Catholic University of Louvain, where he worked with Christian de Duve. In 1974, Claude was awarded the Nobel Prize in Physiology/Medicine, along with de Duve and Palade, for his discovery of the process of cell fractionation and for his contribution to revealing the small organelles of the cell.
Claude was honored with a postage stamp, issued by Belgium in 1987 (first image).
William B. Ashworth, Jr., Consultant for the History of Science, Linda Hall Library and Associate Professor emeritus, Department of History, University of Missouri-Kansas City. Comments or corrections are welcome; please direct to ashworthw@umkc.edu.







